
こんにちは!港区・品川 マウスピース矯正ナビの渡邉です!今回は新時代のマウスピース矯正「Oh my teeth」についてご紹介します。
昨今、どんどん増えてきているマウスピース矯正ブランド。 SNSやYouTubeでもいろんな広告を見かけるようになりましたが、その中でも「Oh my teeth」というマウスピース矯正ブランドの広告をよく見かけるようになりました。
もしかしたらみなさんの中にもこのような広告を一度は見たことがある方が多いのでは?






「通院不要」「月々3,500円~」なんて魅力的なフレーズが満載ですが、一方で気になって口コミを調べてみると「怪しい」「失敗した」などの気になる声も。
そこで今回は口コミの真相を探るべく、実際にOh my teethに突撃して中の人にインタビューをしてきました!
矯正の仕組みや料金についてはもちろん、「予約がとれない」「歯を削られた」などの気になる口コミについても徹底取材しているので、「Oh my teethってどうなの?気になるけど怪しくて失敗したら怖い」と不安を抱えている方はぜひ参考にしてみてください。
気になる口コミをすぐにチェックしたい方は、以下の目次をタップしてください♩
口コミは本当?Oh my teethの中の人に突撃インタビュー


まずはGoogleレビューやX(旧Twitter)などからOh my teethの口コミを徹底調査!良い口コミから悪い口コミまで調べ上げ、その中でもとくに気になる声をリストアップしました。
- 33万円で矯正ができた
- 月1万円以下でも矯正ができるらしい
- 安すぎて逆に怪しい
- プランを勝手に変更された
- 通わないで矯正できたのが良かった
- 通院不要はいいけど何かあったときに大変そう
- この価格で満足できる仕上がりになるのか不安
- 1年未満と短い期間で矯正が終えられた
- 歯が削られてすきっ歯になった
- 予約が取りづらかった
- 良い口コミが多すぎて疑っちゃう
※SNS上の口コミをもとにまとめた内容です
今回はこれらについて口コミの真相はどうなのか、Oh my teethの中の人に直接お話を伺ってきました!
「正直これ、聞いたらマズいかも…?」というようなちょっとドキッとする質問も遠慮なくぶつけてきました!リアルな回答をそのままお届けします!
Q.33万円で矯正ができるって本当?
表参道のoh my teethさんで歯列矯正の歯型スキャン受けたんだけどマジですごかった..
— さっさん (@SASSAN99999) December 11, 2021
リアルタイムで3Dモデル化してそれを元にマウスピースを作ってくれるんだけど部分矯正だけだったら33万ってのが安すぎw
ただ抜歯が必要な場合とか対応できないこともあるみたい
相談とスキャンするのは無料でした pic.twitter.com/6ZjpruudNz
みつ子ちゃんも!🙌
— みつ🌷 (@mi_soushiru) January 28, 2024
私はOh my teethっていうマウスピース専門のところでカウンセリングしてもらって、マウスピースでいけるねーってなってそのまま契約したよ!
部分矯正だと33万で、最短3ヶ月で終わるらしい!
早速なんですけど、Oh my teethの矯正って33万円でできるって本当ですか?口コミでも結構見かけるんですが…。



はい!本当です!
ただ、厳密にいえば必ず33万円でできるわけではありません。
あー…。何か条件がある感じですか?



条件というか、矯正範囲によって料金が変わってきます。
Oh my teethは2つの部分矯正プランを用意しており、上下前歯12本の矯正だけで対応可能である場合は33万円のプランをご提案させていただいております。
もう1つのプランはいくらかかるんですか?



もう1つのプランは66万円で提供しています!
こちらは上下前歯24本の部分矯正となっています。
まとめ
- Oh my teethの矯正が33万円でできるのは本当
- ただし、プランが適合する人のみ
Oh my teethの料金プラン





ちなみにOh my teethでは、別ブランドですが『インビザライン・コンプリヘンシブ』も取り扱っています!
こちらは奥歯から歯並び全体を整えたい方向けで、料金は88万円です。
Q.1万円以下で始められるという話も聞いたけど…
oh my teethで調べて見てください!
— yellco (@CoDyellco) July 19, 2022
33万と66万のコースがあります!
通常の矯正だと100万位するのでかなり安いです。医療ローンで学生の方でも月の支払い1万円以下にできるはずです☺️
最初2回だけ店舗に行って後は届くマウスピースを毎週付け替えるます!ドクターとのやり取りはLINEでやる感じです!
続いて、Oh my teethは月1万円以下で始められるって口コミも見かけたんですが実際はどうなんでしょう?
広告でも月3,500円~とか言っちゃってますけど、さすがに釣りですよね…?



いえ、本当に月3,500円~でも始められます!
(え、やば…)
さっきOh my teethは33万円からできるって言ってましたよね。
その約10分の1でできるってどういうことですか?



実はこれ、デンタルローン(分割払い)を利用した場合の金額なんです。
月々3500円~というのは120回払いの場合になりますね。
120回ってことは約10年間…。
なるほど確かに1ヶ月の支払い金額はかなり安くなりますけど、その分手数料が凄そうですね…。



そうですね、分割払いは手数料が発生するのでどうしても総額が高くなってしまいます。
ただ、月々の支払いを大きく抑えられるので、20代の学生さんや新社会人は利用している方が多い印象ですね。
まとめ
- デンタルローン(分割払い)を利用すればOh my teethは月1万円以下で始められる
- ただし、分割回数が多いとその分手数料が増えるので注意が必要
ちなみに120回払いだと総額が約42万円に。
同じプランでも10万円近く違ってくるから、お財布と相談したうえで分割回数を決めたほうが良さそうです…(小声)。
Q.そもそも何でこんなに安いの?
最近広告でよくみる歯の矯正のOh my teethってどういう仕組みなんですか?初回検査、6ヶ月分料金無料などみるからに怪しいのですが、安全なのでしょうか?
引用:Yahoo!知恵袋
そうそう、これ気になっていました!
Oh my teethってなんでこんなに安いんですか?
一般的なマウスピース矯正って80万〜100万円くらいする印象なので、正直ちょっと安すぎて不安になる人も多いと思うんですけど…。



そうですよね。格安マウスピース=怪しいと感じる方も多いと思います!
実はこの質問よくいただくんですけど、Oh my teethは公式サイトにも安い理由がちゃんと載っているんですよ。
そうなんですね!失礼しました…。
では改めて安さの理由を聞かせてもらえますか?



安くできるのは、診療から製造までをすべて一元化しているからなんです!
一般的なマウスピース矯正はブランドとクリニックの間に中間コストが発生しますが、Oh my teethはそれがゼロなので、その分価格が安くなっているんです。
へぇー、なるほど!いわゆる”メーカー直販”みたいな感じですかね?



そうですね。あと国内で製造しているので、輸送費などのコストがかからないのも安さの理由になっているかなと思います。
決して歯科医師が介在しない、マウスピースの枚数を減らしているなどの理由で安いわけではないのでご安心ください(笑)
まとめ
- Oh my teethが安いのは、一元化で中間コスト&輸送費をカットできているため
Q.この価格で満足できる仕上がりになるの?
歯列矯正をしたいのですが、
— わっち@行政書士受験生 (@watchi20204) January 24, 2021
キレイライン、Oh my teeth等のいわゆる格安と言われるところでするのか、
歯医者に行きやるのがいいのか判断がつきません。
お金はないので安い方がいいですが、安かろう悪かろうではないかと思ってしまい行動出来なくなっています。
価格が安いのは魅力的ですが、この価格で本当に満足できる仕上がりになるんですか?
口コミにもありましたが、ぶっちゃけ”安かろう悪かろう”な仕上がりになるんじゃないですか?(失礼)



仕上がりの満足度に関する具体的なデータはありませんが、ありがたいことに嬉しいご意見も多くいただいております♩
でも中には「失敗した」「後悔した」なんて声もあったり…?(超失礼)



うーん、そうですね。
矯正開始前にシミュレーションを見ていただいておりますが、実は正直にいうと、人によってシミュレーション通りに歯が動かない場合もあります…。
やっぱりそうですよね?(ハイパー失礼)
いや、ちゃんと満足できる仕上がりになる人もいるんでしょうけど、もし自分が失敗したら…と思うとやっぱりここでやっていいのか躊躇しちゃいそうで。



いや、わかります!
ただ、Oh my teethではシミュレーション通りに動かなかった場合、追加料金なしで再度同じプランの矯正ができる保証制度もつけているんですよ。
ズコーッ!早く言ってくださいよぉ~。
でもそれなら安心できますね!



もちろん、基本的には1回の矯正でシミュレーション通りに歯が動くように私たちも全力でサポートしています!
まとめ
- Oh my teethではシミュレーション通りに歯が動くケースがほとんど
- シミュレーション通りに歯が動かなかった場合は無料で同じプランでの矯正が1回できる
今回担当者さんからいくつか症例写真も提供していただきました!
「どのぐらい変わるの?」という方は、後程紹介している症例写真をぜひチェックしてみてください!
Q.勝手にプラン変更や料金が追加されることはある?
最初カウンセリングではbasicプラン(33万円)で矯正できます。とのことだったが、後日LINEでProプラン(66万円)での方針になると連絡がありました。 自分の歯並び的に一番安いもので大丈夫かなと少々疑問でしたが、カウンセリングの時に衛生士?の方にbasicでも大丈夫ですよ!と言っていただけたので、それであればと思い契約することにしました。ですが、後日複数の医師の元、basicプランは難しいとの判断になりProプランに勝手に変えられていました。 医師以外が治療方針を決めていること、後日プランを勝手に変えられたことに不信感を抱いたため、全てキャンセルをお願いしました。 スタッフの方の対応は丁寧でよかったので残念です。
引用:Googleレビュー
続いてOh my teeth導入クリニックのGoogleレビューで見かけたんですけど…。このように料金が勝手に変えられることはあるんでしょうか?
66万円って倍の金額だし、これを見ると私だったら正直怖くて始められないです…。



結論からいえば、プランを勝手に変更することはまずありません。
ただ、慎重に歯並びのシミュレーションを検討した結果、どうしてもBasicプランで並びきらないとなった場合は、途中でProプランをご提案させていただくこともあります。
契約プランが変更になった場合ってキャンセルできるんですか?
33万円から急に66万に変更となると心の準備が…。



契約プランが途中で変更になった場合はキャンセル可能です!
じっくり検討したうえで、改めて決めていただければと思います。
まとめ
- Oh my teethは歯並びによってプランが変更になるケースもある
- ただし、勝手にプランが変更されることはない
- プラン変更を打診された場合はキャンセルが可能
Q.矯正開始後は通院不要って本当?
oh my teethのマウスピース矯正は特に「事前施術後に通院不要」が超大きなメリットだった😍
— まい🍮マウスピース矯正 (@Cocoabunny69) July 27, 2025
職場の先輩がワイヤー矯正やってて、仕事後になかなか予約取れなくてもう3年くらいワイヤーしてる話聞いてたから、自分は通院不要じゃないと無理だった https://t.co/wTjAEgEuxZ
さてさて!次は矯正の進め方について質問させていただきます。
口コミや広告ではよく「通院不要」の文字を見かけるんですが、本当に通わず矯正が進められるんですか?



本当に通院不要でOKです!
ただし、通わないのは矯正が始まってからです。
よく間違われるんですが、矯正開始前の精密検査や処置を行う際は必ず来院いただいております。
矯正開始前はどのぐらい通院が必要なんですか?



目安としては2回ですね。
精密検査で1回、研磨処置やアタッチメントの装着でさらに1回来院いただくことが多いです。
なるほど!
でもそれだと、導入クリニックから遠い地域に住んでいる人は「これなら別のマウスピース矯正を選べばよかった」と後悔しそうじゃないですか?



一応最短で精密検査の翌日にアタッチメントの取り付けや研磨処置ができる体制が整っているので、遠方からの来院やスケジュール調整が難しい場合でも、事前に相談していただければ連続した日程での対応が可能になることもありますよ♩
まとめ
- Oh my teethは矯正開始後であれば、原則通院不要で矯正が進められる
- 矯正開始前は精密検査や事前処置があるため、必ず来院が必要



補足として、インビザラインの場合や複雑な症例の場合は来院いただくこともあります。
ただ、矯正開始後に通院が必要となるケースは稀です。
Q.通院不要は楽だけど、トラブルがあったときに大変なのでは?
Oh my teethでマウスピース矯正も始めた🦷なんと通院一回ぽっきりで終わると聞いて即決。3Dプリンターで作られた14週間分のマウスピースがもう届いた😳LINEで経過診てくれるらしい🤣今風すぎる🤣
— 🐟くろみつきなこ🐟💙 (@zgcaf) October 11, 2023
投薬終わった途端に色々メンテ系詰め込みまくり。シミ取りもやりたいいいいい。
原則通院不要ってことはオンライン診療がメインってことですよね?
矯正って対面で歯並びの進捗を見てもらうってイメージなんですけど、LINEで経過見るって実際大丈夫なんですか…?



不安になりますよね~。でも大丈夫です!
実はOh my teethって通院するよりもかなり力を入れてチェックしているんですよ!
え~本当ですか?(疑いの目)



本当です(笑)
週に1回の進捗チェックも、歯科医師がしっかりと確認しています!
ここから歯の画像が少し続きます





ウィークリーチェックでは、こんな感じで正面・左側・右側の画像をLINEで送っていただいております。





そして送っていただいた写真をもとに、歯科医師が歯並びの状態を確認したうえでコメントをします。
この画像だけで歯の状態がわかるものなんですかね?
てか私的に全然問題なさそうな歯並びに見える…。





こんなふうに、進捗に問題がなければ次のステップにうつれます!
でも写真ってちゃんと確認できなくないですか?





確認が難しい場合は再撮影をお願いすることもあります。
決して憶測で判断することはありませんのでご安心ください!
なるほど、週1でしっかりチェックしてくれるなら安心ですね!
あとは何かサポート的なものってありますか?



ウィークリーチェックに加えて、24時間のLINE相談も行っています。





やりとりの一例なんですけど、こんな感じで相談にのっています。
いやめっちゃ友達感!!



そうなんです(笑)
かなりフレンドリーに接しています(笑)
でもちゃんと一人ひとり、日常会話から生活スタイルやモチベーションをヒアリングして、その人に合った適切なコミュニケーションを行っています。
凄い…。
それで、実際にはどんな相談が多い感じですか?



マウスピースの装着中に痛みが出たとか、マウスピースの使い方に関する相談とかですかね。
人によって本当さまざまですが、ちょっとした不安でも全然構いませんので、気軽に相談していただければって感じです!
まとめ
- Oh my teethは通院不要だが、急なトラブルが起こっても対応できる体制が整っている
- 週に1回、オンラインを通じて歯科医師が歯並びの進捗をチェックしてくれる
- 急なトラブルが起きた場合でもLINEで24時間相談できる



LINEのサポートは他にもたくさん!
毎日何時間マウスピースを装着したか記録できたり、交換時期をお知らせするリマインダー機能もあります。
コラムや卒業生の声もお届けしているので、モチベーションを維持しながら矯正が進められますよ♩
Q.平均矯正期間が3ヶ月って本当?そんなに早くできるの?
oh my teeth 約4ヶ月完了した。
— Takuto (@airspace_nobo) August 2, 2021
職場の子がマウスピース矯正を始めたみたいで話聞いたら
— タッキー│脱毛・肌治療好きYouTuber (@LOGG50957773) December 2, 2023
Oh my teethっていうやつで8ヶ月で終わるって言われたらしい。
歯ってそんなにすぐ動くもんなん?
結構な歯並びだったけど。。
自分インビザライン5年くらいかかったよ。
これはこれでかかりすぎなんだけど。
怪しい匂いを感じてしまった。。
Oh my teethといえば、矯正スピードの速さも特徴的ですよね。
SNSでは「4ヶ月で終わった」という口コミも見られたんですけど、平均矯正期間が3ヶ月ってマジですか?



本当です!
ただ、3ヶ月っていうのはBasicプランの平均矯正期間になりますね。
2020年の1月から2023年7月までの平均なので多少は変わっているかもしれませんが、短い期間で終える方が多くいらっしゃいます!
もう1つのProプランは平均どれぐらいの期間なんですか?



Proプランは平均6ヶ月程度ですね。
こちらも以前調査したときの平均矯正期間ですが。
あくまでも目安として考えていただければと思います!
それにしても早い!!
本当にこの期間で歯並びが改善されるならかなり嬉しいですよね!



Oh my teethは軽度~中度の症例に特化したマウスピース矯正なので、長くても1年以内には終わることがほとんどですね。
ただし、矯正が完了しても保定期間があるので、そこは注意していただきたいです。
保定期間とは?


保定期間は矯正で動かした歯を固定するための期間です。この期間中は「保定装置(リテーナー)」と呼ばれる器具を装着します。
保定装置を装着せずに過ごしていると、せっかく矯正で整えた歯並びが元に戻る「後戻り」が起こる可能性も。
矯正が終わったからと油断せず、この期間も気を引き締めて過ごすことが大切です!



Oh my teethの平均矯正期間に保定期間は含まれていません。
保定期間は大体矯正期間と同じ程度、もしくはそれ以上必要とされています。
まあでも一般的には保定期間も1~3年かかるって聞きますし、そう考えると全体的に見ても短い期間といえそうですね!
まとめ
- Oh my teethは軽度~中度の症例に特化したマウスピース矯正のため、比較的短い期間で歯並びが整う
- 平均矯正期間はBasicプランで3ヶ月程度、Proプランで6ヶ月程度
- 平均矯正期間に保定期間は含まれていないので注意
Q.矯正開始前に歯を削るのは本当?必ずやらないとダメ?
«Oh my teethレポ»
— えま (@EMA14659987) March 29, 2024
STEP0
アタッチメントつけてきた
研磨とかめっちゃ音怖かったけど全く痛くなくて安心した!アタッチメント多めだからか思ったより目立つ
これからとりあえず3ヶ月頑張る!!
#Ohmyteeth
#オーマイティース
#歯科矯正
#キレイライン
そうそう、こんなに口コミも見ました!
Oh my teethでは矯正開始前に歯を削ることがあるようなんですが、これは必ずやっているんですか?



必ずというわけではありません。
矯正する際に研磨処置が必要と判断した場合に行っています。
そもそもなぜ歯を削るんですか?



理由はいくつかありますが、主には歯がきれいに並ぶためのスペースを確保するために行っています。
削るといっても1ヶ所あたり最大0.5mm程度なので、認識としては削るというよりも歯を整えるって感じですね。
なるほど、ちゃんと意味があってやってることなんですね。
じゃあ仕上がりにはとくに影響しない感じですか?



そうですね、最初はすきっ歯に見えるかもしれませんが、歯が移動するにつれてきちんと閉じてくるので問題ありません。
それなら安心ですね!
ちなみにアタッチメントも必要と判断した場合だけ行う感じですか?



そうですね!
アタッチメントは歯の動きをコントロールしたり、マウスピースの密着性を高めたりする役割があるので装着することが多いです。
まとめ
- Oh my teethでは歯をきれいに並べるため、研磨処置が必要と判断した場合は歯を削ることがある
- 矯正効果を高めるためにアタッチメントを装着することもある
Q.予約が取りづらいという口コミも多かったけど大丈夫?
Oh my teeth これだけ予約取れないの、ちゃんと最初に説明しておいて欲しかったなあ。
— ふゆの (@huyuno_ito) September 5, 2024
予約が取りづらいって口コミも結構ありましたよ!
とくに矯正開始前の処置の予約が大変だとか。



そうなんです~。その節は利用者のみなさまに大変ご不便をおかけしました。
実は2024年の7月から9月にかけて、事前処置の予約が取りにくくなっていたんです…!
現在は体制を整え直し、以前よりも予約が取れやすくなっています。
確かにSNSを見るとその時期に予約が取れないって口コミが集中していますね!
まとめ
- 以前は予約が取りづらかったものの、現在は体制を整え直し予約が取りやすくなっている
- ただし土日祝日などは人気が高いため、日によっては希望通りに予約がとれない場合もある
Q.良い口コミが多くて逆に怪しい!欠点はないの?
最後に…。Oh my teethって全体的に見ると良い口コミがめちゃくちゃ多いですよね!?
各導入クリニックのGoogleレビューを見ても、どこも4.5以上ですし。
逆にステマを疑ってしまうんですが、何か欠点はないんですか?(アルティメット失礼)



ねぇ~(笑)本当にありがたいです!
欠点…そうですね、自社のことをあまり悪くは言いたくありませんが、やはり症例によっては対応できないというのは大きな欠点になってしまうかな~と思います。
すみません絞り出させてしまって(笑)
Oh my teethで対応できない場合はどうしているんですか?



心苦しいですが、治療をお断りさせていただいております。
ただ、症例によってはインビザラインの矯正プランを提案したり、ワイヤー矯正に対応している提携クリニックを紹介したりすることもあります。
でも正直にうちで対応できませんって言ってくれるあたり信頼感が持てますよね。
悪いクリニックだとできないとわかっていても無理やり治療しそうですし。



ありがとうございます。そうですね、そのあたりは慎重に検討した上で回答しています。
なので、まずは安心してOh my teethの無料診断を受けていただきたいですね。
まとめ
- Oh my teethのデメリットは対応できる症例が限定されていること
- 適合するかどうか確かめるには精密検査・診断が必要
Oh my teethの精密検査・診断は完全無料とのこと!
その場で無理に契約を迫られることもないようなので、マウスピース矯正をするかどうかは置いといて、まずは気軽に検査へ行ってみてはいかがでしょう。
そして今回、なんとこの記事を見ている方が少しでも気軽な気持ちで矯正を始められるようにと、Oh my teethのお得なモニター制度についても教えていただけました!


- Amazonギフトカード1万円分
- ホワイトニング1ヶ月分(約1万円相当)
※Amazonギフトカードとホワイトニング1ヶ月分の特典は、Oh my teethの矯正プラン契約後に適用となります



モニター募集といえば顔出しが条件のところもありますが、Oh my teethは顔出し不要!
簡単なアンケートと口元のお写真だけでモニター対象となります♩
\顔出し不要!お得な特典付き/
マウスピース矯正「Oh my teeth」とは?どんな人におすすめ?


Oh my teethは2019年に誕生したマウスピース矯正ブランドです。これまで歯科矯正の課題とされてきた「通院回数の多さ」や「費用の高さ」をテクノロジーの力で解消した、新しい矯正サービスを提供しています。
Oh my teethの料金プラン
Oh my teethで対応している歯並び


- ガタガタした歯並び(叢生)
- 出っ歯(上顎前突)
- すきっ歯(空隙歯列弓)
- 八重歯
- 受け口
- 前歯が閉じない(開咬)
- 中心がズレている
- 噛み合わせが深い
Oh my teethは軽度~中度の症例に対応したマウスピース矯正です。同じ出っ歯やすきっ歯でも、重度の場合は対応が難しい場合があります。
これまでの口コミ検証を踏まえ、Oh my teethがどのような人におすすめかまとめました。
- なるべく安い金額で矯正をしたい
- 月々の支払い額を抑えたい
- できるだけ通院したくない
- LINEでのやりとりが苦じゃない
- なるべく短期間で矯正を完了させたい
- 矯正開始前に歯を削っても問題ない
ただし、上記に当てはまる場合でも、歯並びの状態によってはOh my teethが利用できない場合もあります。まずは無料診断で、Oh my teethが適合するかどうか診断してもらいましょう。
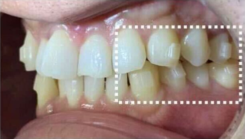
どのぐらい変化がある?Oh my teethの症例をチェック
「○ヶ月で完了した」という口コミも多く見られるOh my teethですが、実際にはどのくらいの期間でどのような変化が見られるのでしょうか。
今回Oh my teethの担当者さんに症例写真の提供をお願いしたところ、快くお受けいただけました!それでは早速、提供していただいた症例写真を早速チェックしていきましょう。
画像をクリックすると拡大します
Basicプラン


こちらはすきっ歯の症例写真だそう。
3ヶ月って結構あっという間な印象がありますが、案外変化が見られるものなんですね!


結構ガタガタしているように見えますが、これで矯正期間2ヶ月って凄くないですか?
Proプラン


上下ガタガタの歯並びを8ヶ月で改善した症例だそうです。
私の身近にも似たような歯並びで悩んでいる人がいるから勧めてみようかな…。


こちらもProプランが適合となった歯並び。
平均矯正期間よりも少し短い5ヶ月でこんなに変化が見られたそう!
【写真付き】実際はどんな感じ?Oh my teethで治療を受けるまでの流れ


続いて、Oh my teethで無料診断~治療を受けるまでの流れについて解説します。
こちらもOh my teethの担当者さんからいただいた写真を使ってご紹介します!
無料診断~治療開始までの流れがよりイメージしやすくなるかと思いますので、ぜひ参考にしてみてくださいね♩
公式サイトからオンラインで無料診断を予約します。
▶無料診断予約ページはこちら
予約完了後、LINEの友だち追加登録を行います。


LINE追加登録が終わったらあとは問診票を記入するだけでOKです。
その後、来院前にリマインドが送られてきます。予約変更やキャンセルする場合は早めに連絡を入れましょう。


当日は予約したクリニックで、まず歯科医師が口腔内をチェックします。虫歯などのトラブルがないかチェックし、問題なければレントゲン撮影や3Dスキャンなどの精密検査を行います。


スキャンした歯並びを歯科医師がチェックし、現在の状態について解説します。
精密検査の結果は後程LINEで届きますが、この時点でも適合プランが予測できるため、このまま契約を進めることも可能です。


無料診断から最短即日で、LINEに診断結果が届きます。Oh my teethで矯正できる場合は上記のような通知が届くので、診断結果を見て適合プランを確認します。
※来院時の診断とその後の最終的な診断結果が異なる場合は上記とは異なる通知が届きます
適合プランを確認して納得できたら、いよいよ契約手続きへ。まずは同意書へ署名し、その後決済方法を選択します。


決済方法はクレジットカード(一括)・銀行振込(一括)・デンタルローン(分割)から選択可能です。
決済完了後、平均10日程度で3Dシミュレーションが届きます。
3Dシミュレーションで治療後の歯並びを確認し、問題なければ承認します。あとはマウスピースが自宅に到着するのを待つだけです。
矯正開始前に研磨処置やアタッチメントの装着などが必要な場合は、マウスピースが到着する前に処置予約を行っておきましょう。


契約が完了すると、自宅に矯正で使用するマウスピースなどがセットで届きます。
矯正キットの中身
矯正キットの内容は以下の通りです。
- マウスピース
- チューイー
- リムーバー
- マウスピースケース
- マウスオープナー
- マウスピース矯正ガイドブック


マウスピース
袋に記載された番号順にマウスピースを装着して矯正を進めます。


チューイー
マウスピースを歯にしっかりと密着させるための器具です。装着時に噛んで使用します。


リムーバー
ネイルをしているときなど、マウスピースが外しにくい状態のときに使用します。


マウスピースケース
マウスピースを保管する専用のケースです。食事や歯磨き時に使用します。


マウスオープナー
口を開けた状態を維持するための器具です。週に1回、進捗写真を送る際に使用します。


マウスピース矯正ガイドブック
マウスピースの着脱方法や取り扱い時の注意点などが掲載されています。




アタッチメント装着後
届いたマウスピースをOh my teeth導入クリニックへ持っていき、矯正開始前の事前処置を行います。


事前処置が完了したら矯正生活スタート!まずはステップ1のマウスピースを装着します。


週に1回の進捗チェックを行い、歯科医師から交換OKのコメントが届いたら次のステップのマウスピースに交換し、治療を進めていきます。
矯正が完了したら、最後のステップで使用したマウスピースをリテーナーとして使用し、歯並びを維持します。
ちなみに「いきなり無料診断へ行くのはハードルが高い…」という場合は、事前にLINEで写真を送って相談を行うこともできます。


自身の歯並びがマウスピース矯正で改善できるかある程度チェックできるので、クリニックから離れた地域にお住まいの方や、「まずは気軽にLINEで相談したい」という方はぜひ利用してみるとよいでしょう。


☑ クリニック来院前に結果がわかる
☑ 矯正プランの選択肢がわかる
☑ 無駄な検査費用を払わずに済む
\ 簡単30秒 /
Oh my teethに関するよくある質問(FAQ)


最後に、Oh my teethに関するよくある質問をまとめました。Oh my teethでの矯正を検討している方はこちらもぜひ参考にしてください。
- Oh my teethはどんな歯並びに対応していますか?
-
Oh my teethでは軽度~中度の歯並びの治療に対応しています。具体例としては以下の症例に対応可能です。
- 軽度〜中度の前歯のがたつき
- 軽度〜中度の出っ歯
- 軽度〜中度のすきっ歯
- 以前矯正された方の後戻りなど
一方、重度の歯列不正や顎変形症などには対応できない場合があります。Oh my teethの矯正が適合するかは無料診断で確かめられます。治療を検討している方はまず無料診断を受けてみましょう。
- 矯正治療中に痛みはありますか?
-
Oh my teethに限らず、マウスピースの装着初期や交換時には、歯の移動に伴う痛みや違和感を感じる場合があります。Oh my teethでは痛みが強い場合、LINEでいつでも相談できます。
- Oh my teethの治療の予約は取りにくいって本当ですか?
-
以前は、治療開始前の事前処置(歯の表面を研磨するIPRやアタッチメントの装着など)の予約が集中し、ご希望の日時に予約を取るのが難しい時期がありました。
しかし、現在では予約枠を拡大し、体制を強化することで、スムーズに事前処置の予約をお取りいただけるよう改善しております。
無料診断や精密検査のご予約に関しても、多くの導入クリニックにご協力いただき、比較的スムーズに予約を取得できる体制を整えております。
- Oh my teethで追加費用がかかるケースはありますか?
-
Oh my teethでは、治療開始前に必要な費用を全て提示し、それ以降は基本的に追加費用が発生しないというシステムを採用しています。
ただし、以下のケースでは追加費用が発生する可能性があります。
- マウスピースを破損・紛失した場合
-
マウスピースを破損または紛失した場合、1枚あたり5,500円(税込)で再発行となります。
- マウスピースの装着時間を守らなかった場合
-
1日20時間以上の装着時間を守らなかった場合、治療計画の見直しやマウスピースの再作成が必要となり、追加費用が発生する可能性があります。
- リテーナーを購入する場合
-
保定期間に使用するリテーナーは、最終ステップのマウスピースをそのまま使用することもできますが、新たに購入する場合は上下で11,000円(税込)かかります。
これらの追加費用が発生するケースは、Oh my teethの公式サイトに詳しく記載されています。追加料金が気になる方は、事前に確認しておくとよいでしょう。
- Oh my teethは何歳から始められますか?
-
Oh my teethのマウスピース矯正は15歳以上から始められます。ただし、以下の条件を満たしていていない場合は15歳以上であっても治療を受けられない可能性があります。
- 全て永久歯に生え変わっている
- 上下顎の臼歯(7番)が生えていて、咬合している
- 直近一年で伸びた身長が3センチ以下であること
中高生でOh my teethの矯正を検討しており、歯の状態がよくわからない場合は、精密検査で歯並びの状態を確認してもらいましょう。なお、未成年の場合は親権者の同意が必要です。
- Oh my teethのLINEサポートは、どのような質問に答えてくれますか?
-
治療に関する疑問や不安、マウスピースの装着方法、痛みや違和感の対処法など、様々な質問に対応しています。24時間体制でサポートしているので、いつでも気軽に相談できます。
まずはOh my teethの無料診断を受けてみよう
Oh my teethは、低価格かつ通院不要で矯正ができることから「怪しい」と思われがちですが、口コミを検証すると多くの方が治療結果に満足していることがわかります。
ただ、仕組みをよく理解せずに矯正を開始すると、「失敗した」「後悔した」と感じることがあるかもしれません。
現在Oh my teethを始めようか検討している方は、今回ご紹介した内容を参考に、プランの詳細や通院不要のシステム、精密検査~矯正完了までの流れをしっかり理解しておくとよいでしょう。
なお、Oh my teethが自分に合うかどうか確認するには、まず導入クリニックで精密検査を受ける必要があります。精密検査は無料なので、ぜひお近くの導入クリニックで無料診断を受けてみてください。
\体験モニター募集中/










