大人のマウスピース矯正

「三田駅」3分/「田町駅」4分

「土・日・祝」も診療

WEB予約 LINE相談 モニター割
/学割

お電話でのご予約・ご相談 03-6435-0285

LINE相談 WEB予約
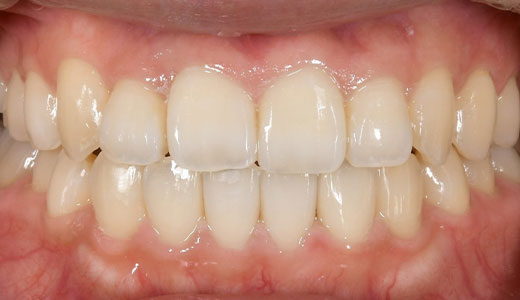
キービジュアル

44万円(税込)月額4400
最短3ヵ月からの
「マウスピース矯正」

画像
マウスピース矯正
経験年数
13
画像
  • 画像
  • 画像
  • 治療前
  • 治療後

治療内容:マウスピース矯正(インビザライン)
治療期間:1年
費用:770,000円(税込)
リスクと副作用:痛み
歯を動かす際に歯根吸収や歯肉退縮が起こる場合があります。

  • 治療前
  • 治療後

治療内容:マウスピース矯正(インビザライン)
治療期間:1年
費用:770,000円(税込)
リスクと副作用:痛み
歯を動かす際に歯根吸収や歯肉退縮が起こる場合があります。

  • 治療前
  • 治療後

治療内容:マウスピース矯正(インビザライン)
治療期間:1年
費用:770,000円(税込)
リスクと副作用:痛み
歯を動かす際に歯根吸収や歯肉退縮が起こる場合があります。

  • 治療前
  • 治療後

治療内容:マウスピース矯正(インビザライン)
治療期間:1年半
費用:990,000円(税込)
リスクと副作用:痛み
歯を動かす際に歯根吸収や歯肉退縮が起こる場合があります。

  • 治療前
  • 治療後

治療内容:マウスピース矯正(インビザライン)
治療期間:1年11ヶ月
費用:1,150,000円(税込)
リスクと副作用:痛み
歯を動かす際に歯根吸収や歯肉退縮が起こる場合があります。

  • 治療前
  • 治療後

治療内容:マウスピース矯正(インビザライン)
治療期間:1年
費用:770,000円(税込)
リスクと副作用:痛み
歯を動かす際に歯根吸収や歯肉退縮が起こる場合があります。

【必読】誰が担当するかで治療期間/美しさに「違い」が

画像
画像

マウスピース矯正がとても人気です。従来のワイヤー矯正と比べ、透明で目立たず、取り外しができるためです。今では、ほとんどの歯科医院で扱っています。

しかし、このマウスピース矯正、誰が治療を担当するかで、治療期間や治療精度(歯並びのキレイさ)に「」が出ることはあまり知られていません。

分かりやすい例としては、同じ症例であってもケースによっては「数年間」の治療期間の差が生まれることがあります。つまり当初は「2年で終わります」と言われていたのに「5年たっても治療が終了しない」ということが起きているということです。

利用する「装置」は同じなのに、なぜ「差」が出るの?このように思われるかもしれません。「差」が生まれるのは、診査診断と設計のフェーズです。

AI(人工知能)任せの設計は、必ず「ズレ」が生じます

画像

マウスピース矯正は、ワイヤー矯正のように担当医の知識や技術力がなくてもAI(人工知能)が多くのことを行ってくれるため、矯正経験ゼロのドクターでも手軽に始められるので、一気に普及した経緯があります。

しかし、実はAI(人工知能)は完璧ではありません。むしろ、まだまだ精度が低いのが実情です。

マウスピース矯正は複数枚のマウスピースを交換しながら歯を動かしていきます。AIが設計した計画通り進めると1枚ごとに約3%のズレが生じます。10枚のマウスピースを利用する頃には約30%のズレが生じることになります。つまり、ゴールから30%ズレてしまうということです。

多くのドクターがこのズレに気づかず治療を進め、途中で「おかしいな?」となり、1から治療をやり直すことを繰り返し、最終的には予定の治療期間の何倍もかかることがあります。また、やり直しをせず、歯並びが整っていない段階で治療を終了してしまうドクターもいます。

これが今のマウスピース矯正の実情です。

「AI主導」と「人主導」の治療期間の比較

つまり「AI(人工知能)」に頼りきりの治療は必ず失敗するということです。これを防ぐためには「知識と経験がある担当医による設計への介入」が必須になります。以下で示すのは、同じ症例で「AI主導」と「人主導」の治療期間の比較になります。

画像
画像

同じ症例であっても算出されるマウスピースの数が異なり、治療期間に1年6か月の差が出ました。これがドクターの「質の違い」です。

そのため、当院のマウスピース矯正の治療期間は「短い」です。この評判が広まり、毎月、口コミやご紹介で多くの方が全国から来院されています。

どのメーカーを扱っているかを確認してください!

【注意】マウスピース矯正で様々な「トラブル」が発生中!

画像
画像

先ほどは担当医の「質」により「治療期間が大幅に延びることがある」ことをお伝えしましたが、その他「マウスピースメーカー」によって生じる問題もあります。

今では、国内外に多くのマウスピースメーカーが存在します。メーカーごとに特徴ががありますが、次のようなメーカーには注意が必要です。

臨床実績が極端に少ないメーカー
安価だが品質に問題のあるメーカー
日本で認証されていない材料を使用しているメーカー

米国のアライン社によって開発された世界シェアNo.1インビザラインを採用しています。これまで世界100ヶ国以上、約1400万人以上がインビザラインによる治療を受けています。これは多くのドクターから信頼されている証と言えます。インビザラインは、部分矯正から全体矯正に至るまで、幅広いニーズに対応することができます。

横顔のフェイスライン(Eライン)も美しく!

画像

歯を矯正することで、横顔のフェイスライン(Eライン)が整うこともあります。特に「出っ歯」「受け口」「叢生」の矯正では、フェイスラインへの効果を実感しやすいです。

フェイスラインなどの顔貌変化と聞くと「美容整形」をイメージされる方もいるかもしれません。美容整形は短期間で変化を実感しやすいというメリットがある一方、その効果が永続しないリスクがあります。

一方、矯正治療による顔貌変化は、緩やかではありますが、その効果の永続性は高いです。また、患者さんが本来持つ美しさを引き出すことができるため、自然な美しさを追求できます。

フェイスラインを整える目的で美容整形を検討されている方も、歯の矯正で理想を実現できる可能性があります。興味がある方は、お気軽にご相談ください。

他院で「矯正治療を断られた方」も大丈夫!

画像

患者さんのお口の状態によっては治療を断られることがございます。例えば、次の症状をお持ちの場合、矯正治療を断られる可能性があります。

✅歯周病が進行している
✅歯が抜けている部分がある
✅ブリッジやインプラントが入っている
✅抜歯が必要なのでマウスピースでは対応できない

当院ではこれらに該当する患者さんでも、適切な処置を行えばほとんどのケースで治療が可能です。例えば、歯周病の治療が必要な方の場合であれば、歯周病専門医と連携を取りながら歯周病治療を優先して行います。

また、歯が抜けている部分がある、あるいはブリッジやインプラントが入っている場合は、歯の移動距離を補綴(入れ歯やブリッジ)を含めて綿密な治療計画を立案します。

また、「マウスピース矯正は抜歯ケースに対応できない」という情報が巷には出回っているかもしれませんが、矯正治療に対する確かな知識、経験を備えた歯科医師であれば、抜歯が必要なケースでも治療は可能です。

他院で治療を断られた際の治療についてさらに詳しくご覧になりたい方は「他院で矯正を断られた」のページをご覧ください。

マウスピース矯正治療の流れ

STEP①カウンセリング

画像

「矯正治療を始めるか迷っている」「相談だけでもしてみたい」という方のために、当院では無料カウンセリングをご用意しています。歯並びやお口の状態をしっかりと診断し、理想の治療プランや期間、費用について詳しくご説明いたします。

STEP②CT精密検査・レントゲン検査

画像

矯正治療で歯を安全に動かすためには、歯を支える骨や歯の根の状態を詳細に把握することが欠かせません。当院では、CT精密検査を活用し、1本1本の歯の状態を丁寧に診断しています。

STEP③口腔内スキャン・写真撮影

画像

デジタル機器を使い、正確で快適な歯型取りを実現する口腔内スキャンを行います。さらに、お口やお顔の写真も撮影し、詳細な記録を残します。

STEP④シミュレーション作成

画像

検査やスキャンデータをもとに、患者さん一人ひとりの歯の状態を分析し、治療計画を作成します。当院では、コンピューターの自動作成ではなく、理事長が手作業で精密なシミュレーションを作成。これにより、より正確でスムーズな治療を提供します。

STEP⑤マウスピース発注

画像

治療用マウスピースをインビザラインに発注します。当院では、治療を正確に進めるため、初めに約14枚(14週間分)のマウスピースを発注。この期間を「1クール」とし、患者さんの歯並びの状態に応じて必要なクール数を決定します。

STEP⑥矯正スタート(IPR・アタッチメント装着)

画像

マウスピースが届いたらご来院いただき、いよいよ矯正治療のスタートです。お渡しする1クール分のマウスピースは、担当医の指示に従い交換してご使用いただきます。尚、必要に応じて以下の処置を行うこともあります。

■IPR(歯間削合)
歯を並べるためのスペースを確保する処置で、歯と歯の間に0.1mm単位の隙間をつくります。
■アタッチメント装着
歯の表面に取り付ける白い装置。これにより、マウスピースがしっかり力を加えて歯を動かします。

STEP⑦経過相談

画像

1クール目のマウスピース使用後にはご来院いただき、治療の進行を確認します。最初のシミュレーション通りに歯が動いているかどうか、モニターを使いながら患者さんと一緒にチェックします。治療が2クール目以降に進む場合は、以下のプロセスを1クールごとに繰り返して治療を進めていきます。

1、口腔内スキャン・写真撮影
2、シミュレーション作成
3、マウスピース発注
4、矯正再スタート(IPR・アタッチメント装着)
5、経過相談

STEP⑧治療終了

画像

必要なクール数の治療が終わり、歯並びが整ったら、仕上げの処置を行うためにご来院いただきます。最終的な仕上げとして、以下の処置を行い、治療が完了します。

✅噛み合わせの最終調整
✅アタッチメントの取り外し
✅歯の形態修正
✅リテーナー作成

STEP⑨保定期間(リテーナー装着)

画像

矯正治療が終了した直後は、歯並びがまだ不安定で、歯が動きやすい状態です。この時期にマウスピースや矯正器具を外した生活に戻ると、歯が元の位置に戻る「後戻り」が起こる可能性があります。これを防ぐためには、「保定装置(リテーナー)」を装着することが重要です。一般的には、リテーナーは最低でも2年間の装着が推奨されています。

コラムご契約の方限定!「ホワイトニング剤」をプレゼント

画像

当院で矯正治療をご契約された方には7日分の「ホワイトニング剤」をプレゼントさせていただきます。白い歯は歯並びを良く見せる効果もあります。

当院の矯正治療の「特長」

最短3ヵ月/44万円(税込)~のマウスピース矯正

画像

「矯正治療に興味はあるけど費用が心配・・・」
「装置代や調整料など細分化されてて分かりにくい・・・」

一般歯科とは異なり、矯正治療は自費診療となります。そのため、費用面の不安をお持ちの患者さんも多いでしょう。当院では「トータルフィー(総額会計)」を採用しています。診断料をはじめとする矯正治療にかかる費用を全て含んだ金額を、あらかじめご提示しますので、安心して治療を始められます。もちろん、追加料金は一切かかりません。

治療期間を短縮させるスピード矯正プラン

画像

そもそも当院の矯正治療の期間は「短い」のが特徴となりますが、更に治療期間を短くするスピード矯正オプション(有料)」をご用意しています。ケースにもよりますが「8カ月~12ヶ月」ほど矯正期間を短縮することができます。次の方にお勧めです。

できるだけ早く歯並びをキレイにしたい
結婚式に間に合わせたい
就職活動開始までに間に合わせたい
受験が始まる前までに終わらせたい

詳細はスピード矯正をご参照ください。

矯正治療の「やり直し」もお任せ

画像

「当院で」新規矯正をご契約いただいた方が後戻りした場合、
通常は新規矯正契約が「55万円~」となるところを、「22万円~」で再矯正を受けられるプランをご用意しています。

また、10年の補償もお付けしていますので、万が一、治療終了後に歯並びが後戻りしたとしても安心です。

このプランの対象となるのは、次に当てはまる方です。

  • リテーナーの紛失、破損によって装着時間が不十分で後戻りしてしまった方
  • 不可抗力で後戻りが発生してしまった方
  • 追加矯正を検討している方

矯正治療に関する重要なご説明

治療等の内容

矯正治療は、歯並びや噛み合わせを改善することを目的とした治療です。
患者さまのお口の状態や年齢、顎の成長状況、ご希望に応じて、マウスピース型矯正装置やワイヤー矯正などの方法をご提案します。
治療にあたっては、検査・診断を行い、治療計画に基づいて段階的に歯を動かしていきます。

標準的な治療期間・回数

治療期間や通院回数は、年齢や歯並び・噛み合わせの状態、治療方法によって異なりますが、一般的には1年半〜3年程度、月1回程度の通院が目安となります。
詳細については、カウンセリング・検査後にご説明いたします。

治療等の内容

矯正治療には、以下のようなリスク・副作用が生じる可能性があります。
  • 治療開始直後や調整後に、歯の痛みや違和感を感じることがあります
  • 歯の動き方には個人差があり、治療期間が予定より延びる場合があります
  • 歯磨きが不十分な場合、むし歯や歯周病のリスクが高まることがあります
  • 装置の使用状況によっては、十分な治療効果が得られない場合があります
  • 治療後は、後戻りを防ぐために保定装置(リテーナー)の使用が必要です

初診「個別」相談へのご案内

当院では、患者さんが抱えていらっしゃるお口のお悩みや疑問・不安などにお応えする機会を設けております。どんなことでも構いませんので、私たちにお話ししていただけたらと思います。
ご興味がある方は下記からお問い合わせください。

お電話でのご予約・お問い合わせ 03-6435-0285

三田駅」3分/「田町駅」4分

土曜・日曜」も診療

夜20:30」まで(平日)