前歯の部分矯正

「三田駅」3分/「田町駅」4分

「土・日・祝」も診療

WEB予約 LINE相談 モニター割
/学割

お電話でのご予約・ご相談 03-6435-0285

LINE相談 WEB予約
キービジュアル

1回4.4万(税込)のプランあり!

気になる前歯
最短3ヵ月で整える

画像
マウスピース矯正
経験年数
13
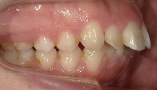
  • 治療前
  • 治療後

治療内容:マウスピース矯正(インビザライン)
治療期間:1年
リスクと副作用:痛み
歯を動かす際に歯根吸収や歯肉退縮が起こる場合があります。

  • 治療前
  • 治療後

治療内容:マウスピース矯正(インビザライン)
治療期間:1年
リスクと副作用:痛み
歯を動かす際に歯根吸収や歯肉退縮が起こる場合があります。

  • 治療前
  • 治療後

治療内容:マウスピース矯正(インビザライン)
治療期間:1年
リスクと副作用:痛み
歯を動かす際に歯根吸収や歯肉退縮が起こる場合があります。

  • 治療前
  • 治療後

治療内容:マウスピース矯正(インビザライン)
治療期間:1年
リスクと副作用:痛み
歯を動かす際に歯根吸収や歯肉退縮が起こる場合があります。

  • 治療前
  • 治療後

治療内容:マウスピース矯正(インビザライン)
治療期間:1年
リスクと副作用:痛み
歯を動かす際に歯根吸収や歯肉退縮が起こる場合があります。

「前歯だけ」の部分矯正

画像

すきっ歯や出っ歯など、前歯だけ気になる方は多くいらっしゃると思いますが、そういった部分矯正は「マウスピース矯正」が得意とする分野です。部分矯正は、比較的低価格で、治療期間も短くできることができますので、お気軽にお問い合わせください。

部分矯正の「メリット」

  • 画像

    すきっ歯

  • 画像

    八重歯

  • 画像

    出っ歯

「出っ歯の部分だけが気になる・・・」
「前歯の隙間をどうにかしたい・・・」
「八重歯を改善したい・・・」

このような歯並びの一部にお悩みの方には、「部分矯正」が適している場合があります。部分矯正は動かす歯が少ないので、「短期間・低価格」で治療できるケースが多いです。部分矯正の具体的なメリットについて詳しくご紹介します。

メリット① 「費用」を抑えられる

画像

歯を動かす本数が少ないため、全体的な矯正に比べると費用がかなり安く抑えられます。歯並びによって具体的な金額が変わりますので、詳しい料金については診断の上、お伝えさせていただきます。

メリット② 透明なので「目立たない」

画像

従来の矯正治療では、ブラケットやワイヤーの「金属が目立つ」ことがデメリットでした。しかし、当院で使用する「マウスピース型矯正装置」は透明で目立ちにくいため、周囲の人に気付かれることなく矯正治療を進められます。マウスピース型矯正装置を使用した治療についての詳細は「大人のマウスピース矯正」のページをご覧ください。

メリット③ 「治療期間」が短い

画像

部分矯正は、比較的症状が軽くて動かしやすい「前歯部分」を対象とした治療であるため、歯の移動が少ないです。そのため、全体矯正と比較し、部分矯正では個人差はありますが「最短3ヵ月」と短期間で完了することもございます。結婚式や就職活動など、大切なイベントを控えている方にも、非常に好評をいただいています。

メリット④ 「痛み」が少ない

画像

全体矯正では、奥歯を支点にして歯全体の噛み合わせを調整するため、歯を大きく移動させる必要があります。これにより、歯を支える骨(歯槽骨)が大きく再形成され、痛み違和感が生じる可能性が高くなります。

一方、部分矯正では、主に前歯の歯並びを整えるため、歯の移動量が少なく、骨への影響も軽減されやすいです。そのため、患者さんの負担も少なく済みます。

具体的な「部分矯正の例」

画像

ここでは、前歯の部分矯正の治療対象となる具体的なケースをご紹介します。

ケース1すきっ歯の矯正

前歯にわずかな隙間がある場合、部分矯正によって隙間を閉じることが可能です。

ケース2回転/斜めになった歯の改善

特定の歯が回転している/斜めになっている場合は、部分矯正を行うことでその歯だけを正常な位置へ戻すことが可能です。

ケース3前歯の軽度な歪み

前歯が歪んでいると見た目への影響が大きいですが、部分矯正で改善が可能です。

ケース4再矯正

過去に矯正治療を受けていたが、歯並びが後戻りしてしまった場合、部分矯正で該当箇所のみ治療を行うことがあります。

当院の矯正治療の「特長」

最短3ヵ月/44万円(税込)~のマウスピース矯正

画像

「矯正治療に興味はあるけど費用が心配・・・」
「装置代や調整料など細分化されてて分かりにくい・・・」

一般歯科とは異なり、矯正治療は自費診療となります。そのため、費用面の不安をお持ちの患者さんも多いでしょう。当院では「トータルフィー(総額会計)」を採用しています。診断料をはじめとする矯正治療にかかる費用を全て含んだ金額を、あらかじめご提示しますので、安心して治療を始められます。もちろん、追加料金は一切かかりません。

治療期間を短縮させるスピード矯正プラン

画像

そもそも当院の矯正治療の期間は「短い」のが特徴となりますが、更に治療期間を短くするスピード矯正オプション(有料)」をご用意しています。ケースにもよりますが「8カ月~12ヶ月」ほど矯正期間を短縮することができます。次の方にお勧めです。

できるだけ早く歯並びをキレイにしたい
結婚式に間に合わせたい
就職活動開始までに間に合わせたい
受験が始まる前までに終わらせたい

詳細はスピード矯正をご参照ください。

矯正治療の「やり直し」もお任せ

画像

「当院で」新規矯正をご契約いただいた方が後戻りした場合、
通常は新規矯正契約が「55万円~」となるところを、「22万円~」で再矯正を受けられるプランをご用意しています。

また、10年の補償もお付けしていますので、万が一、治療終了後に歯並びが後戻りしたとしても安心です。

このプランの対象となるのは、次に当てはまる方です。

  • リテーナーの紛失、破損によって装着時間が不十分で後戻りしてしまった方
  • 不可抗力で後戻りが発生してしまった方
  • 追加矯正を検討している方

矯正治療に関する重要なご説明

治療等の内容

矯正治療は、歯並びや噛み合わせを改善することを目的とした治療です。
患者さまのお口の状態や年齢、顎の成長状況、ご希望に応じて、マウスピース型矯正装置やワイヤー矯正などの方法をご提案します。
治療にあたっては、検査・診断を行い、治療計画に基づいて段階的に歯を動かしていきます。

標準的な治療期間・回数

治療期間や通院回数は、年齢や歯並び・噛み合わせの状態、治療方法によって異なりますが、一般的には1年半〜3年程度、月1回程度の通院が目安となります。
詳細については、カウンセリング・検査後にご説明いたします。

治療等の内容

矯正治療には、以下のようなリスク・副作用が生じる可能性があります。
  • 治療開始直後や調整後に、歯の痛みや違和感を感じることがあります
  • 歯の動き方には個人差があり、治療期間が予定より延びる場合があります
  • 歯磨きが不十分な場合、むし歯や歯周病のリスクが高まることがあります
  • 装置の使用状況によっては、十分な治療効果が得られない場合があります
  • 治療後は、後戻りを防ぐために保定装置(リテーナー)の使用が必要です

初診「個別」相談へのご案内

当院では、患者さんが抱えていらっしゃるお口のお悩みや疑問・不安などにお応えする機会を設けております。どんなことでも構いませんので、私たちにお話ししていただけたらと思います。
ご興味がある方は下記からお問い合わせください。

お電話でのご予約・お問い合わせ 03-6435-0285

三田駅」3分/「田町駅」4分

土曜・日曜」も診療

夜20:30」まで(平日)